
전문 장비를 활용한 정밀 심장 검사를 통해 심장 질환의 조기 발견과 맞춤형 관리를 제공합니다

심장 질환의 조기 발견과 맞춤형 관리를 제공합니다.
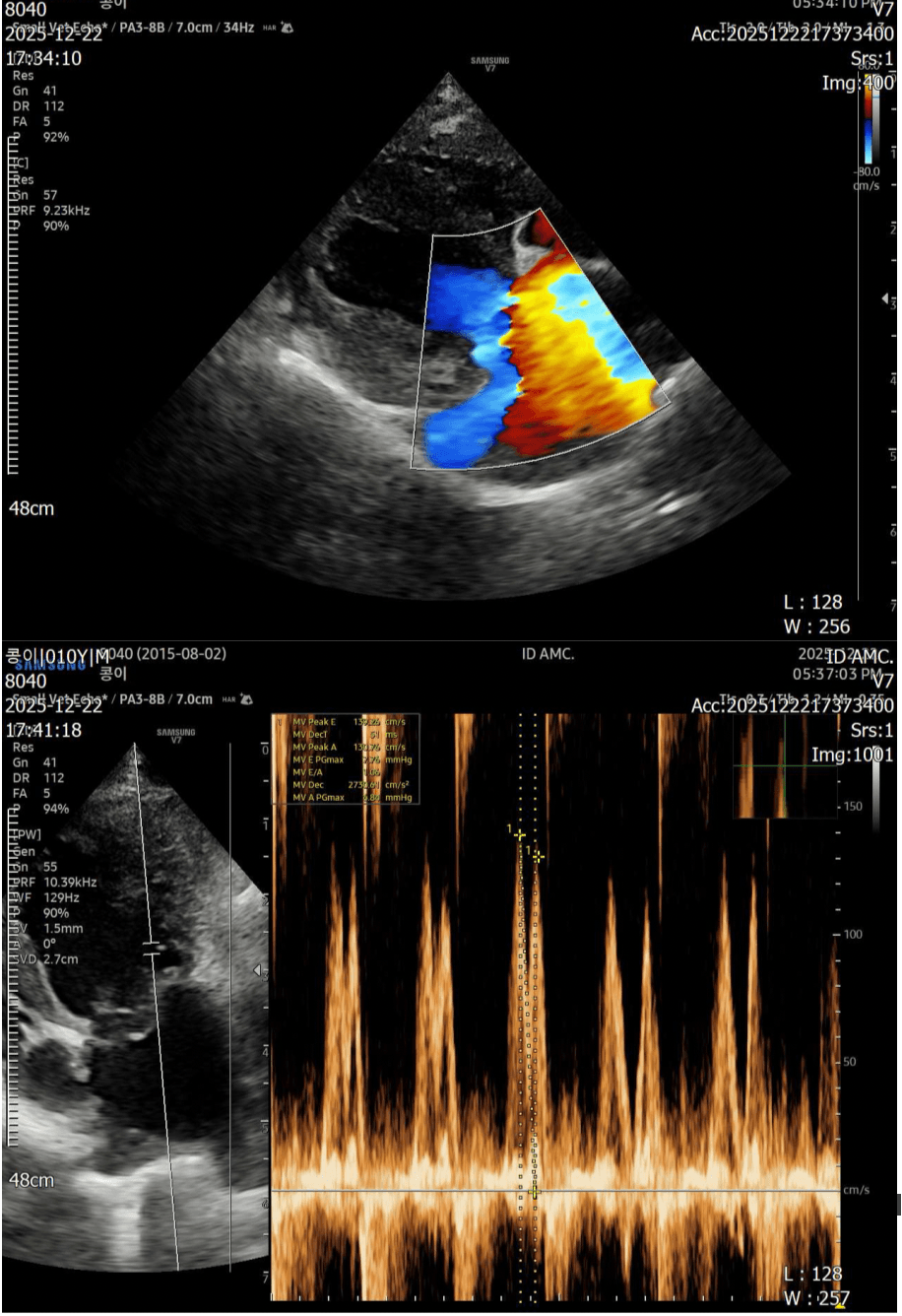
심장 판막의 이상과 비대 정도, 혈류 속도를 정밀하게 측정하는 심장 전용 초음파입니다.
미세한 부정맥과 심박동의 이상을 잡아내어 급사 및 실신 위험을 관리합니다.
심장의 크기(VHS)와 폐수종 여부를 판독하여 정확한 심부전 단계를 진단합니다.
고혈압으로 인한 장기 손상을 예방하기 위해 주기적인 혈압 모니터링을 시행합니다.
심장 질환의 종류와 단계에 따른 체계적인 관리 프로그램을 운영합니다.
이첨판 폐쇄부전증 등 점진적으로 진행되는 심장병의 진행 속도를 늦추고 삶의 질을 높입니다.
고양이 급사의 주요 원인인 HCM을 조기에 발견하고 혈전 형성 방지를 위한 관리를 제공합니다.
PDA, PS 등 어린 나이에 발견되는 기형 질환에 대해 중재 시술 및 외과적 협진을 진행합니다.
심장 환자에게 '시간'은 곧 '생명'입니다.
본 센터는 응급 심부전 및 폐수종 환자를 위한 24시간 집중 케어 시스템을 가동합니다.
카카오톡 실행 > 친구 > 24아이디동물의료센터